Inflammatory Bowel Disease (IBD)

سجل دخولك لتتبع تقدمك اشترك الآن
7 أقسام

  • Definition: Inflammatory Bowel Disease (IBD) is an idiopathic, chronic inflammatory disorder of the gastrointestinal tract. It is primarily composed of two conditions:

    1. Ulcerative Colitis (UC)
    2. Crohn’s Disease (CD)
  • Pathophysiology: IBD arises from a dysregulated immune response to intestinal microflora in genetically susceptible individuals. Three key factors drive IBD pathogenesis:

    1. Genetic predisposition
    2. Altered (dysregulated) immune response
    3. Abnormal response to gut microorganisms
  • Extraintestinal Manifestations: UC and CD share many common extraintestinal manifestations, including musculoskeletal (e.g., arthritis), ocular (e.g., uveitis, episcleritis), and dermatologic (e.g., erythema nodosum, pyoderma gangrenosum) findings.

سجل دخولك لإضافة ملاحظات خاصة لكل قسم  · اشترك الآن

Comparison: Ulcerative Colitis vs. Crohn’s Disease


Ulcerative Colitis Crohn’s Disease
Incidence
  • 20 to 30 years
  • Bimodal distribution (20 - 30 years) and (50 - 75 years)
Involvement
  • Rectum (Always involved)
  • Extends from the mouth to the anus (Mostly ileum)
  • Rectum spared
  • Perianal disease
Endoscopy
  • Continuous lesions starting at rectum and stay within colon
  • Skip lesions
  • Entire GIT (Mouth to Anus)
Microscopy
  • Superficial inflammation (Mucosal and submucosal inflammation)
  • Crypt abscesses
  • Pseudopolyps
  • No granulomas
  • Transmural inflammation
  • Noncaseating granulomas
  • Cobblestoning
  • Creeping fat
Clinical Presentation
  • Bloody diarrhea (Usually painful)
  • Watery diarrhea (Can be bloody)
  • Weight loss
  • Nutritional deficiencies (Terminal ileum)
Risk of Malignancy
  • Increased risk of colon cancer (Depends on disease severity and duration)
  • Colonoscopies should be performed and repeated
  • Lower risk of colon cancer
Intestinal Complications
  • Toxic Megacolon
  • Fistulas (Enteroenteric, Cutaneous, Vaginal, Vesical)
  • Strictures (Bowel obstruction)
  • Vitamin B12 and ADEK deficiency
  • Duodenum: Iron deficiency and osteopenia
  • Abscesses
Mutual Extraintestinal Manifestations
  • Arthritis, Uveitis, Episcleritis, Erythema Nodosum, Pyoderma Gangrenosum
Role of Surgery
  • Colectomy is curative
  • Surgery is reserved for complications

 

 

سجل دخولك لإضافة ملاحظات خاصة لكل قسم  · اشترك الآن

Ulcerative Colitis

Background and Pathophysiology
  • Chronic inflammatory disease of the colon and rectum
  • Inflammation is limited to the mucosa and submucosa
Clinical Findings
  • GI symptoms: Bloody diarrhea, abdominal pain, tenesmus, urgency
  • Systemic signs: Weight loss, fever
Laboratory Findings
  • Leukocytosis
  • Iron deficiency anemia
  • Reactive thrombocytosis
  • Elevated inflammatory markers (e.g., CRP, ESR)
Endoscopy
  • Continuous colonic involvement, always including the rectum
  • Erythematous, friable mucosa
  • Pseudopolyps (areas of regenerating mucosa surrounded by ulceration)
Biopsy
  • Mucosal and submucosal inflammation
  • Crypt abscesses, crypt distortion
Complications
  • Toxic megacolon (risk increases with severe disease)
  • Primary sclerosing cholangitis
  • Colorectal cancer (risk increases with disease duration and severity)
  • Extraintestinal manifestations (e.g., erythema nodosum, pyoderma gangrenosum, spondyloarthritis)
Management
  • 5-Aminosalicylic acid (5-ASA) agents (e.g., mesalamine, sulfasalazine)
  • Corticosteroids for acute flares
  • Immunomodulators (e.g., azathioprine)
  • Biologics (e.g., anti-TNF agents) in moderate-to-severe disease
  • Colectomy is curative

 

سجل دخولك لإضافة ملاحظات خاصة لكل قسم  · اشترك الآن

Crohn’s Disease

Background and Pathophysiology
  • Chronic, transmural inflammation that may affect any part of the GI tract (mouth to anus)
  • Skip lesions and noncaseating granulomas are characteristic
Clinical Findings
  • GI symptoms: Abdominal pain, diarrhea (often watery, can be bloody), oral ulcers, malabsorption, weight loss
  • Complications: Fistulas (enteroenteric, cutaneous, vesical), strictures, abscess formation
  • Extraintestinal manifestations: Arthritis, uveitis, erythema nodosum, pyoderma gangrenosum
Diagnosis
  • Laboratory Tests: Leukocytosis, iron deficiency anemia, elevated inflammatory markers (CRP, ESR)
  • Endoscopy: “Cobblestone” appearance with skip lesions
  • Radiography/CT: Bowel wall thickening, strictures
Management
  • Medical therapy:
    • 5-ASA agents (mild disease)
    • Corticosteroids (acute flares)
    • Immunomodulators (azathioprine)
    • Anti-TNF therapies (moderate-to-severe disease)
  • Lifestyle: Smoking cessation is crucial as smoking exacerbates Crohn’s Disease
  • Surgery: Reserved for complications (e.g., fistulas, strictures), not curative
Additional Complications
  • Gallstones due to decreased enterohepatic circulation of bile acids
  • Bile salt diarrhea with terminal ileal disease
  • Nephrolithiasis (calcium oxalate stones) due to hyperoxaluria

 

سجل دخولك لإضافة ملاحظات خاصة لكل قسم  · اشترك الآن

Differential Diagnosis: Irritable Bowel Syndrome (IBS)

Overview
  • Functional disorder characterized by abdominal pain and altered bowel habits without a clear structural abnormality
Rome IV Diagnostic Criteria
  • Recurrent abdominal pain/discomfort at least 1 day/week for the past 3 months with ≥2 of the following:
    1. Related to defecation (improvement or worsening)
    2. Change in stool frequency
    3. Change in stool form (appearance)
Classifications
  • Diarrhea predominant (IBS-D)
  • Constipation predominant (IBS-C)
  • Mixed type (IBS-M)
Colonoscopy Findings
  • Typically normal mucosa; no structural lesions
Diagnosis
  • Previously considered a diagnosis of exclusion, but in patients who fulfill Rome IV criteria and lack alarming features (e.g., significant weight loss, GI bleeding, family history of IBD or colon cancer), extensive workup is often not required.
Management
  • Lifestyle modification (diet, exercise, stress management)
  • Low FODMAP diet (fermentable oligosaccharides, disaccharides, monosaccharides, polyols)
  • Symptomatic relief: Loperamide (for diarrhea), laxatives or fiber (for constipation)
  • Alarm features (e.g., older age of onset >50, nocturnal diarrhea, iron deficiency anemia) warrant further investigation.
Associations
  • Fibromyalgia
  • Mood disorders (anxiety, depression)
Clinical Features of Irritable Bowel Syndrome
Rome IV Diagnostic Criteria
  • Recurrent abdominal pain/discomfort >1 day/week for past 3 months and >2 of the following: related to defecation (improves or worsens), change in stool frequency, change in stool form
Classifications
  • Diarrhea Predominant
  • Constipation Predominant
  • Mixed
Colonoscopy Findings
  • Colonoscopy shows normal mucosa (no structural abnormalities)
Diagnosis
  • Used to be a diagnosis of exclusion but now patients with Rome criteria with no alarming features or family history of IBD or colon cancer require no extensive work up and investigations
Management
  • First line treatment is lifestyle modification
  • Loperamide
  • Low FODMAP Diet (Fermentable Oligosaccharides, Disaccharides, Monosaccharides and Polyols)
Alarm Features
  • Older age of onset (>50 years of age)
  • Gastrointestinal bleeding
  • Nocturnal diarrhea
  • Worsening pain
  • Unintended weight loss
  • Iron deficiency anemia
  • Elevated C-reactive protein
  • Positive fecal lactoferrin or calprotectin
  • Family history of early colon cancer or IBD
Associations
  • Fibromyalgia
  • Mood disorders (anxiety, depression)
سجل دخولك لإضافة ملاحظات خاصة لكل قسم  · اشترك الآن

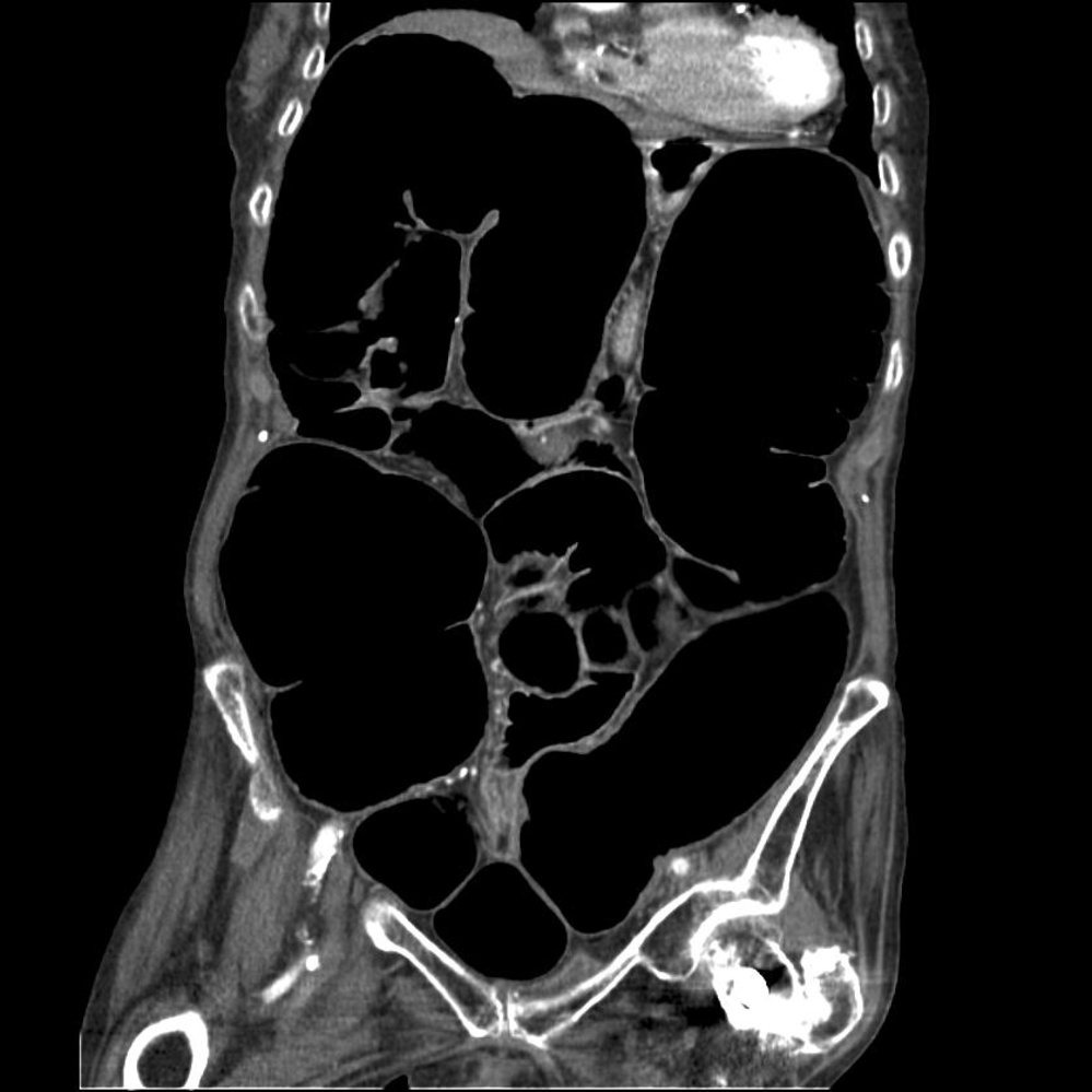
Key Complication: Toxic Megacolon

Etiology
  • Extreme colonic distention (>6 cm dilation in the right colon or >9 cm in the cecum) due to inflammation involving the smooth muscle layer, causing paralysis and dilation.
  • Most commonly associated with:
    • Ulcerative colitis
    • Crohn’s disease
    • Infectious colitis (C. difficile)
    • Ischemic colitis
    • Obstructive colon cancer or volvulus
Clinical Presentation
  • Systemic toxicity (fever, tachycardia, hypotension)
  • Bloody diarrhea
  • Abdominal distention, signs of peritonitis
Diagnosis
  • Plain X-ray or CT scan showing marked colonic dilation, loss of haustra, and possible mucosal ulceration
Management
  • Conservative: Bowel rest, NG suction if ileus is present, IV corticosteroids, antibiotics
  • Surgery: Indicated if no improvement within 72 hours or in cases of perforation

Note: Barium enema is contraindicated due to the risk of perforation.

Toxic Megacolon
Etiology
  • Toxic megacolon arises when inflammation extends to the smooth muscle layer causing muscle paralysis and colonic dilation.
  • This condition can also be caused by ischemic colitis, volvulus, diverticulitis, and obstructive colon cancer.
Risk Factors
  • IBD
  • Clostridium difficile infection
Clinical Presentation
  • Systemic toxicity (e.g., fever, tachycardia, hypotension)
  • Blood diarrhoea
  • Abdominal distention/peritonitis
  • Marked colonic distension on imaging
Diagnosis
  • X-ray or CT scan: Colonic distention (> 6 cm dilation of the right colon and > 9 cm in cecum), loss of normal haustral pattern, irregular mucosal pattern with areas of ulceration alternating with areas of edema.
Management
  • Bowel rest, NG suction, antibiotics
  • Surgery if unresponsive to medical management (>72 hours)
  • Barium enema is contraindicated because of a risk of colonic perforation

 

 

سجل دخولك لإضافة ملاحظات خاصة لكل قسم  · اشترك الآن

Pyoderma Gangrenosum

Clinical Features
  • Begins as a small papule or pustule
  • Rapidly progresses to a painful ulcer with a purulent base and a violaceous border
  • Pathergy phenomenon: minor trauma can precipitate new ulceration
Epidemiology
  • Peak onset age 40–60
  • More common in women
  • Strong association with IBD, rheumatoid arthritis, and malignancies
Diagnosis
  • Clinical exclusion of other ulcerative conditions (e.g., infections)
  • Biopsy: Neutrophilic infiltrates without pathogenic organisms
Treatment
  • Local or systemic glucocorticoids (mainstay)
  • Adjunctive immunosuppressants in refractory cases
Pyoderma Gangrenosum
Clinical Features
  • Begins with small papule or pustule
  • Rapidly progressive, painful ulcer with purulent base and violaceous border
  • Precipitation of ulceration at site of injury
Epidemiology
  • Peak onset age 40 - 60 years
  • Women > Men
  • Association with inflammatory bowel disease, inflammatory (e.g., rheumatoid arthritis), malignancy
Diagnosis
  • Exclusion of other causes of ulceration (e.g., infection)
  • Skin biopsy: Neutrophilic infiltrates
Treatment
  • Local or systemic glucocorticoids

 

 

سجل دخولك لإضافة ملاحظات خاصة لكل قسم  · اشترك الآن

احصل على التجربة الكاملة

اشترك للوصول لفيديوهات الشرح التفصيلي والبطاقات التعليمية التفاعلية وأسئلة الممارسة مع تتبع التقدم.

فيديوهات الشرح بطاقات تفاعلية أسئلة ممارسة
اشترك الآن

المساعد الطبي الذكي

اسأل أسئلة حول المحتوى الطبي واحصل على إجابات فورية مدعومة بالذكاء الاصطناعي

اشترك الآن

سجل دخولك لاستخدام أدوات الدراسة

اشترك الآن

تنبيه هام

نواجه مشكلة تقنية خارجة عن إرادتنا على رقم الواتساب الخاص بنا، لمرحلة مؤقتة، في حال الحاجة للتواصل مع خدمة العملاء، يرجى التواصل معنا من خلال التليجرام فقط

https://t.me/ymp_support